Porcelain Veneers
We wish you find your check out pleasant as well as unlike any other dental experience. Clients that aren't prospects are simply those that more than happy with their smile." Tooth structure removal related to different preparation styles for anterior teeth. Associated web pages -What to do if you have a veneer break or come off. In this sort of scenario, dental crown positioning makes the better suited choice. Teeth that have actually lost a substantial quantity of framework due to put on, degeneration or crack, as well as those that have huge fillings don't make good candidates for porcelain laminates. Veneers do not make the appropriate option for teeth that require strengthening.
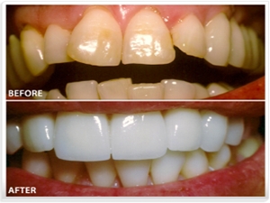
Are veneers worth getting?
Once you get a veneer, there is no going back. In order to affix a veneer to your teeth, generally, a doctor will need to file down enamel. The cost of a veneer is also cost-prohibitive to many interested parties– but can be worth it if you're serious about having a great smile the rest of your life.

The objective of veneers is generally cosmetic, yet you might have them fitted as component of a general dental transformation that consists of therapy for periodontal disease. Depending on what it is you're trying to address, the very best alternating options are orthodontics or teeth lightening. For an extra budget friendly kind of veneer, you might additionally try composite instead of porcelain. For this procedure, the dental professional uses the exact same material as an oral filling up to improve your teeth. Have you ever gone by your representation and saw a much less than excellent smile?
What Is The Most Usual Factor To Have Veneers Replaced?
They can create a cosmetically satisfying look by covering teeth that are stained, misshapen or chipped. Make a consultation with your dental professional to find out if dental veneers are the right option for improving self-confidence in your smile. Enjoy this video for a terrific demonstration of how porcelain veneers function. Porcelain veneers are custom-made made as well as fabricated https://archersngz182.skyrock.com/3339265892-Porcelain-Veneers-Near-Me.html to fit your teeth, so they will considerably boost as well as boost your smile in a really natural-looking way. Once you commit to your veneer plan as well as determine how many you need, much more molds, X-rays, as well as pictures are taken.
The primary advantage is that they do not discolor like your regular teeth would certainly.
First of all, the material that is utilized to bond them to your teeth is not damaging to your all-natural teeth.
This implies that having actually the veneers connected does not spoil or injure your teeth.
So since we've talked about just how porcelain veneers function, let's talk about exactly how they influence your teeth.
Please call the prosthodontist's workplace as well as they need to attempt to obtain you in immediately. Your tooth may be delicate to chilly foods or liquids when the veneer is off. Ask if the prosthodontist can reveal you what your veneers will appear like prior to they are completely placed. Ask your prosthodontist to show you various other instances of veneers they have done, specifically situations that look like your circumstance. Brushing 2 times every day for two minutes, flossing daily, as well as using a bite guard in the evening are terrific methods to protect the veneers.
Do You Need To Clean Veneers?
People ought to have great periodontal and also dental wellness prior to getting oral veneers. These problems might not automatically invalidate patients, but the problems have to be dealt with before cosmetic procedures are done. Considering that dental veneers are semi-translucent, light mirrors off them like all-natural enamel.
Do your teeth have to be straight for veneers?
Veneers can be applied to teeth that are crooked, or teeth that are otherwise uneven or differently shaped to each other. Overbites and underbites are no problem either: veneers can still be applied. In sum, you do not need a perfectly straight and even bite before veneers are applied.
Many wrongdoers of the closed-mouth smile feel uneasy in social-settings as a result of their teeth. If you want your smile to have that "pearly white" impact, you may intend to sink your teeth into these teeth lightening products. Your mouth as well as gums will likely ache and unpleasant for a couple of days after the treatment. You might additionally experience some tooth sensitivity from the bonding cement. This pain is entirely typical and will certainly pass as your mouth heals, however ensure to have some ibuprofen accessible simply in instance.
Oral Veneer Benefits
Secondly, porcelain veneers are not made of enamellike the front of your all-natural teeth. The primary advantage is that they do not discolor like your normal teeth would certainly.
Can you get veneers on crooked teeth?
If your teeth are only slightly crooked, and if there are no problems with your bite, it's very possible that you can get porcelain veneers. These little covers will reshape your teeth and make them look like they're perfectly straight — no braces required!
So since we have actually reviewed just how porcelain veneers function, let's talk about how they influence your teeth. First off, the material You can find out more that is utilized to bond them to your teeth is not dangerous to your natural teeth. This implies that having the veneers attached does not spoil or harm your teeth.
A crown totally cups over all sides of the tooth on which it is positioned. Despite that distinction nevertheless, both can be used to create a comparable aesthetic change.
What are the pros and cons of veneers?

VeneersPROSCONSlonger lastingpermanent (but you'll need to replace them if they crack or become damaged)more opaquemore expensivebetter at hiding tooth decay and discolorationDec 12, 2019
Last updated
Was this helpful?