Can I Obtain Porcelain Veneers Despite Crooked Teeth?
One tooth or lots of teeth can undertake the veneering process at the same time. Oral veneers can be made from porcelain or from material composite materials. Porcelain veneers resist discolorations better than resin veneers. They likewise much better simulate the light-reflecting properties of natural teeth. You will require to talk about the very best option of veneer product for you with your dental expert. Aesthetic dentistry is still significant job, and it is essential to see to it that you're getting your veneers done by an experienced dental practitioner. Not all dental methods offer aesthetic dental care, so you may have to look around to find one that does.
Do veneers ruin your teeth?
Porcelain veneer does not damage your natural teeth by any means. In fact, it protects your natural teeth from further decaying as well as other damages. Fragile teeth can be dangerous, as they can be broken down anytime. With veneer, porcelain lamination is added around the teeth to give strength.
During your preliminary visit, your teeth's x-rays will be taken to ensure that the health standing of your teeth will certainly be evaluated. Signs and symptoms of periodontal illness or dental caries examined while the need for origin canals will certainly be established. If you are suffering from any of these troubles, you might not be fit to get veneers. Veneers help in improving your teeth's look in order to offer you a brighter smile.

Choices To Porcelain Veneers.
If your tooth has an one-of-a-kind appearance that is visibly when you Additional hints open your mouth, a veneer will give you a basic shape. If you can not afford your veneers, funding is readily available to help. Just the very well-off can pay for to pay out of pocket for them. South Land oral deals financing so a large variety of individuals can appear of surgery with excellent looking teeth.
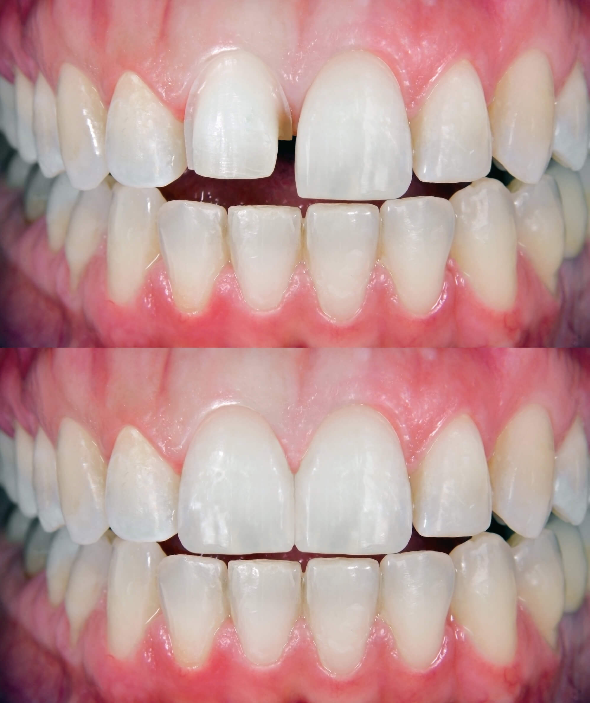
Veneers are especially practical in boosting your smile if you have teeth that are damaged, stained or misshapen.
The purpose of veneers is generally cosmetic, however you might have them fitted as component of a total dental makeover that includes therapy for periodontal illness.
The thin veneers just cover the tooth-- they can not reorient the tooth, like braces can.
Misaligned teeth are among one of the most common things people point out when critiquing their own smile.
If you're obtaining no-prep veneers, this is particularly real.
Oral veneers are tailored shells made of porcelain or a composite resin that fit over your teeth to improve their appearance.
They will after that take an impression of your new smile and develop a collection of momentary veneers that will stay on till the irreversible ones get here. This trial duration permits you to make a decision whether you wish to make adjustments to the color or form-- it's effectively a "test drive" for your brand-new teeth. Veneers are a multi-step process that's usually spread out over a few consultations, yet the results are absolutely worth the extra time. What's so great regarding the particular veneers that Dr. Apa does is exactly how customized they are for every of his individuals.
What Are Oral Veneers?
If the teeth are fairly right, extremely little tooth structure would certainly need to be modified or eliminated. In most cases, nonetheless, some reduction in tooth structure is required for the best outcome. The only con would be that this is a permanent process. Fortunately, it's exceptionally unusual for someone to desire them gotten rid of so they can return to the way they looked before treatment ever before started.
Others are most likely to pay attention to someone when they show a more certain smile. When in Los Angeles, look no more than Southland Dental for a fair expense on high quality veneers.
Oral Veneer Cost
If you're thinking of getting veneers or have various other inquiries about your dental wellness, contact us today for an examination. If you're unhappy with the state of your teeth, porcelain veneers may be the ideal selection for you. This fairly easy, non-invasive treatment can provide you a new smile in just 2-3 weeks.
Do Veneers stay white?
Dental porcelain is highly stain-resistant, meaning that your veneers will maintain the same beautiful, bright white shade for years after their application. That's why many patients think of them as a permanent teeth whitening treatment.
Porcelain veneers are extremely resilient as well as will not discolor, making them a preferred service for those seeking to recover or boost the beauty of their smile. If you wish to see about getting porcelain veneers, please contact us today. The moment depends on the specific patient and also the number of veneers are positioned. It generally takes up to two weeks in between the oral impacts and also appointment, as well as the veneer positioning treatment.
Complete mouth veneers price is a lot more costly after that simply getting them on your front teeth. If you get them simply on your front teeth, the color will not match on the teeth that are how much does it cost for porcelain veneers much less noticeable. Full mouth veneers cost much more than obtaining your 12 front teeth done. If you obtain your 12 front teeth done, you can pay as little as $12,000. If you have actually damaged teeth, they can cover it with a veneer that will certainly give the look http://cruzabml411.bearsfanteamshop.com/porcelain-veneers-for-a-smile-makeover of a full tooth.
Do veneers stain with coffee?
Veneers themselves are stain resistant! However (there's always a however), excessive cola, tea and coffee drinking can stain the bonding agent used to cement your veneers to your teeth. Porcelain veneers are stain resistant, so it's perfectly OK to drink your favorite coffee or tea, in moderation.
Last updated
Was this helpful?